Sitemize üye olarak beğendiğiniz içerikleri favorilerinize ekleyebilir, kendi ürettiğiniz ya da internet üzerinde beğendiğiniz içerikleri sitemizin ziyaretçilerine içerik gönder seçeneği ile sunabilirsiniz.
Zaten bir üyeliğiniz mevcut mu ? Giriş yapın
Sitemize üye olarak beğendiğiniz içerikleri favorilerinize ekleyebilir, kendi ürettiğiniz ya da internet üzerinde beğendiğiniz içerikleri sitemizin ziyaretçilerine içerik gönder seçeneği ile sunabilirsiniz.
Üyelerimize Özel Tüm Opsiyonlardan Kayıt Olarak Faydalanabilirsiniz

Epilepsi, özellikle çocuklarda yaşam kalitesini derinden etkileyen ve tedavi süreçleri uzun yıllar sürebilen bir nörolojik hastalık. Son yıllarda yapay zeka teknolojilerinin sağlık alanındaki hızlı yükselişi, epilepsi tedavisinde de önemli kapılar aralıyor. 2025 itibariyle yapılan yeni bir araştırma, yapay zekanın doktorların gözünden kaçabilen gizli lezyonları tespit edebildiğini ortaya koydu. Bu gelişme, hem tanı hem de tedavi süreçlerinde devrim niteliğinde bir adım olarak değerlendiriliyor.
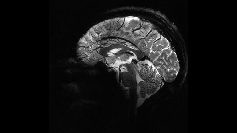
Epilepsi tedavisinde en kritik aşama doğru tanı koymak. Çoğu zaman EEG ve MRI gibi görüntüleme yöntemleri kullanılsa da bazı lezyonlar gözden kaçabiliyor. Bu noktada yapay zeka, yüksek çözünürlüklü taramalardan elde edilen binlerce veriyi saniyeler içinde analiz ederek doktorlara ek bir bakış açısı sunuyor.
Benim gözlemim şu: Özellikle büyük veri setleriyle uğraşırken insan gözü bazı küçük anormallikleri fark edemeyebiliyor. Yapay zeka burada ikinci bir göz gibi çalışıyor ve fark edilmeyen sinyalleri ön plana çıkarıyor.
Epilepsili çocuklarda görülen bazı lezyonlar, klasik görüntüleme yöntemlerinde “normal” görünebiliyor. Bu durum, yanlış tanı veya yetersiz tedaviye yol açabiliyor. Yapay zeka algoritmaları, bu “gizli lezyonları” tespit ederek çocukların daha erken ve doğru tedavi almasını sağlayabiliyor.
Örneğin, MRI’da temiz görünen bir beyin bölgesinde aslında mikroskobik düzeyde farklılıklar bulunabiliyor. Yapay zeka, bu küçük farklılıkları istatistiksel karşılaştırmalarla ortaya çıkarıyor.
Yapay zeka, binlerce beyin görüntüsünü dakikalar içinde tarayabiliyor. Bu, klasik yöntemlere göre ciddi bir zaman tasarrufu anlamına geliyor.
Doktorların yoğun tempoda gözden kaçırabileceği küçük anomaliler, yapay zeka tarafından yakalanabiliyor. Bu da tanı doğruluğunu artırıyor.
Doğru teşhis, doğru tedavi demek. Yapay zeka sayesinde tespit edilen gizli lezyonlar, epilepsi cerrahisi veya ilaç tedavisinde daha isabetli kararlar alınmasını sağlıyor.
2025 yılı itibariyle yapılan klinik testlerde, yapay zekanın epilepsili çocuklarda doktorların fark etmediği lezyonları %30 daha fazla yakalayabildiği bildirildi. Bu oran, gelecekte epilepsi tedavisinde yapay zekanın standart bir araç haline gelebileceğini gösteriyor.
Kendi gözlemim ise şu: Teknoloji geliştikçe sadece teşhis değil, tedavi sürecinde de yapay zekanın rolü artacak. Örneğin, hangi ilaç kombinasyonunun daha etkili olacağını tahmin etmek için de bu sistemler kullanılabilir.
Avantajlar:
Sınırlamalar:
1. Yapay zeka epilepsiyi tamamen tedavi edebilir mi?
Hayır, yapay zeka sadece teşhis ve tedavi sürecinde destek sunar. Tedavi hala doktorların kontrolünde yürütülür.
2. Yapay zeka hangi yaş gruplarında daha etkili?
Çocuklarda özellikle faydalı çünkü erken teşhis, tedavi başarısını artırır. Ancak yetişkinlerde de benzer katkılar sağlanabilir.
3. Bu sistemler Türkiye’de kullanılmaya başlandı mı?
2025 itibariyle bazı üniversite hastanelerinde pilot uygulamalar yapılıyor.
4. Yapay zekanın yanılma ihtimali var mı?
Evet, ancak insan faktörüyle birlikte kullanıldığında hata oranı minimuma indiriliyor.
Yapay zeka, epilepsili çocuklarda gizli lezyonların tespitinde büyük bir umut ışığı oldu. Kendi değerlendirmem, bu teknolojinin gelecekte yalnızca teşhis değil, kişiselleştirilmiş tedavi planlamasında da vazgeçilmez hale geleceği yönünde.
Sağlıkta teknoloji odaklı gelişmeler, özellikle hassas hasta grupları için hayat kurtarıcı olabilir. Epilepsi örneği de bunun somut bir göstergesi. Önümüzdeki yıllarda, yapay zekanın sadece doktorlara destek olmakla kalmayıp tedavi sürecini de dönüştüreceğini düşünüyorum.
👉 Bu içerik bilgilendirme amaçlıdır. Tanı ve tedavi için mutlaka uzman hekimlere başvurulmalıdır.
👉 Daha fazla güncel teknoloji ve bilim haberleri için indirsoft.com adresine göz atabilirsiniz.

Yorum Yaz